
ドクターマップ コンタクトレンズを買う前に知りたい 目のトラブルを防ぐポイント3つ
コンタクト
コンタクトレンズをしていると眼が充血する 2 ソフト編 イワサキ眼科医院

眼にコンタクト27枚 の衝撃 原因や予防法は 専門医に聞いてみた 市川衛 個人 Yahoo ニュース
昨日 カラコンしたまま寝てしまって朝起きたら目が真っ赤で痛かったです Yahoo 知恵袋

コンタクトレンズで視界がぼやけるのはなぜ よくある3つの理由と解消法をご紹介 アキュビュー 公式
警告 コンタクトレンズによる疾患の数々に気をつけろ Eyeeye アイアイ 目や眼鏡の情報サイト

コンタクトが片目だけ曇る原因とは 洗っても残る油汚れとタンパク質汚れ

近視 遠視 網膜専門医による各種治療 白内障手術 硝子体手術 硝子体注射 各種レーザー を行っています
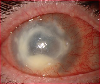
使い捨てコンタクトレンズを半年間つけたままにしてた女子大生の末路 画像 ャバィョ O ゚d゚ O O ゚d゚ Oャバィョ まにゅそく 2chまとめニュース速報vip

コンタクトレンズのつけっぱなし生活 非常に危険 コンタクトレンズつけっぱなしはng 非常に危険
Tags:
Archive